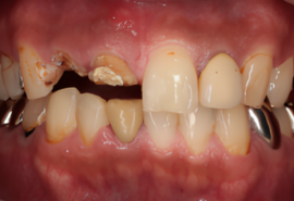
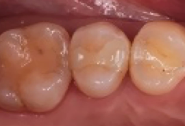
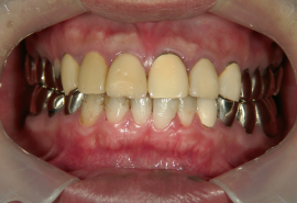
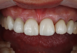
全顎審美セラミック治療
治療前

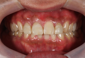
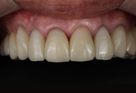
治療後

メリット
起こる
リスク・副作用
歯を削る必要があります。
また、人によっては麻酔が切れた後、痛みが出ることがあります。
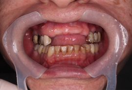
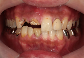
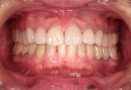
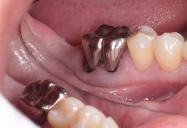
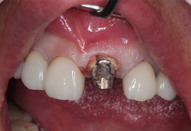
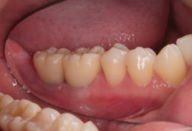
全顎インプラント治療
治療前

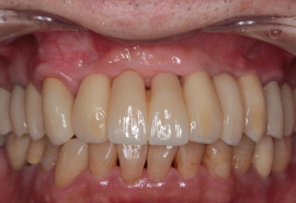
治療後

メリット
起こる
リスク・副作用
辻堂駅南口徒歩1分の歯医者・歯科

JR辻堂駅南口から徒歩1分という抜群のアクセス。お仕事帰りやお買い物のついでにも立ち寄りやすく、雨の日でも通いやすい環境を整えています。
地域の皆さまにとって“かかりつけ医”として身近な存在であり続けます。

当院では、見た目の美しさだけでなく、「噛む・話す」といった機能の回復を重視しています。
セラミック治療・インプラント・矯正治療を総合的に組み合わせ、歯並び・咬み合わせ・口元の調和をトータルでデザイン。
精密機器を駆使し、“長く美しく使える歯”を目指します。

「もう治せないかもしれない」と諦めてしまった方もご安心ください。
当院では、重度の虫歯・歯周病・欠損などの複雑症例にも対応しています。
インプラントや全顎治療を組み合わせ、機能性と見た目の両立を実現。
再び“しっかり噛める笑顔”を取り戻すサポートをいたします。

患者様の機能性と美しさ
を追求するための
3つの特化診療
美しさと機能を融合する
「全顎治療」とは、一本の歯だけを治すのではなく、口腔全体を一つの“機能単位”として捉え、噛み合わせ・歯列・歯周組織・顎関節・審美性まで総合的に改善していく治療アプローチです。
局所的な処置を繰り返すだけでは、再発や不調が続いてしまうケースも少なくありません。
その根本原因を突き止め、長期的な安定と機能美を取り戻すのが「全顎治療」の目的です。
原因から治す
精密診断
長期安定を
見据えた設計
専門チームに
よる連携治療
治療前

治療後

治療前

治療後

自分の歯のように噛める喜びを
失った歯を補う方法の中でも、インプラントは「見た目」「噛む力」「快適さ」において天然歯に最も近い治療法です。
ブリッジのように隣の歯を削る必要がなく、入れ歯のような違和感もないため、長期的な機能回復が期待できます。
当院では、単に“埋める治療”ではなく、“一生使える噛み合わせ”を再構築するための精密なインプラント治療を行っています。
CT解析による
安全な手術設計
専門ドクターに
よる精密埋入
長期安定を
見据えた
メインテナンス
体制
治療前
治療後
治療前
治療後
自然で美しい口元を叶える
セラミック治療は、ただ「白くする」「美しく見せる」だけの治療ではありません。
辻堂カバサワデンタルオフィスでは、歯の色・形・透明感・噛み合わせ・歯ぐきとの調和までを総合的に設計し、
“自然に見える美しさ”と“しっかり噛める機能性”を両立させた審美治療を行っています。
一人ひとりの骨格や口元のバランスを丁寧に診査し、長く美しさが続く治療をご提案します。
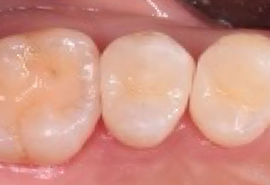
天然歯のような
透明感と色調再現
マイクロスコープ
による精密形成
美しさと機能を
両立した
口元デザイン
治療前
治療後
治療前

治療後
